Morgantown vet team saves baby eagle that swallowed fishhook
Bird swallowed fishhook, lure and line
MORGANTOWN, W.Va. – An eagle chick from the Mon Valley is resting and recuperating at the Cheat Lake-based Avian Conservation Center of Appalachia after an emergency weekend surgery to extract a fishhook from its stomach.
The bird – known as USS11 – is part of a family of eagles – two parents and three chicks in a nest monitored by U.S. Steel’s Mon Valley Works Irvin Plant Eagle Cam.
Don German, retired manager of the steel plant, said the parents have nested there for seven years, and this is the fifth year for the Eagle Cam.
The Saturday morning live feed caught the father, Irvin, bringing in a fish and Stella, the mom, tearing the fish apart to feed her chicks. The youngest – USS11, born April 3 – swallowed a chunk that had a fishhook, synthetic worm lure and length of fishing line.
The line was sticking out of its beak and over the side of the nest, German said. The bird was thrashing.
They decided they needed to intervene if possible. German contacted Tamarack Wildlife Center based in Saegertown. The director there made calls to secure U.S. Fish and Wildlife Service approval to remove the bird. And German obtained Pennsylvania Game Commission approval.
The nest is 100 feet up a sycamore tree on the plant site, German said, so he also called Northwood Tree Care to do the climbing.
They gathered at the plant at 2:15. Northwood’s owner went up first and assessed the problem. One of his employees went up and distracted the siblings. The parents hovered overhead squawking but didn’t try to intervene, German said.
The climbers were able to get the bird secured into a tool bag and lowered it down. It was 3:30 p.m. Saturday, and German, his wife and two transporters brought it to Morgantown.
Dr. Jesse Fallon, director of veterinary medicine for the center and a veterinarian at Cheat Lake Animal Hospital where the center is based, took over the story from there. “We decided that the best chance for the eagle to have a positive outcome was to capture it and get that fishhook out of there,” he said.
Fallon and his team examined it when it arrived. The bird was quiet and responsive, had the fishing line hanging out of its mouth, but was otherwise in reasonable health for a 2-week-old eagle chick.
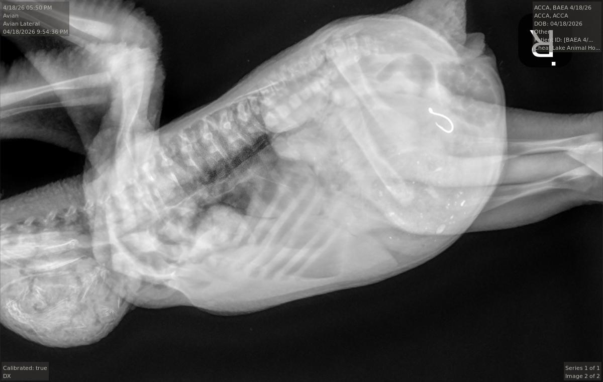
They first tried using endoscopy – a camera on a scope – but there was too much food in the bird’s stomach to be able to see the hook.
So they turned to surgery. His veterinary technician Cayce Dakon handled the anesthesia while Tricia Mayle was his surgical assistant.
He made an abdominal incision and removed the hook, which was still attached to the synthetic worm lure and the fishing line. USS11 was out of surgery around 8 p.m., he said.
They administered pain medication, IV fluids and antibiotics. USS11 rested overnight and they did some assisted feeding. By Sunday evening, the bird was taking food on its own.
“Today we seem to be doing OK,” he said Monday. But there’s still a potential for complications. They’re continuing the pain medication, antibiotics and fluids.
They also have to take precautions against “imprinting,” where the eaglet associates the human provider with its food and support. So they’ve moved it out of intensive care to where an adult eagle is housed so it can see and have close contact with a member of its own species.
They don’t know if USS11 is male or female at this point, he said. They’re awaiting DNA test results.
“Our hope is that it will continue to improve,” Fallon said. If all goes well, they hope they can get it back to the nest in the next couple of weeks. “We are cautiously optimistic that this bird is likely to recover and likely to get back with the parents.”
German agreed. “We’re praying for a very successful outcome.”
The Avian Conservation Center of Appalachia was founded in 2012, Fallon said. They admit about 600 injured bird species into the program each year and have about a 35% release rate – typical for large rehab programs. They also have some non-releasable birds used for education.
The center also does research and will soon start studying post-release success rates.
Interested in checking out the Eagle Cam and USS11’s parents and two siblings? Visit ussteel.com/media/video-image-library.





